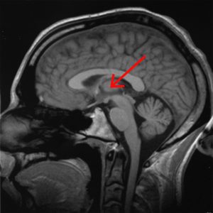
Thalamus

Share
Share

Share
Written by
Diganta Paul

জন্ম: ১৯৮৯ সালে ভারতবর্ষের পশ্চিমবঙ্গ রাজ্যের হাওড়া জেলায়। শিক্ষা: প্রাথমিক, মাধ্যমিক, ও উচ্চ-মাধ্যমিক শিক্ষা হাওড়া জিলা স্কুলে। এরপর কলকাতার "সেইন্ট থমাস্ কলেজ অফ এঞ্জিনিয়ারিং অ্যান্ড টেকনলজি" কলেজ থেকে বৈদ্যুতিক কারিগরিবিদ্যা নিয়ে প্রযুক্তিতে স্নাতক (B.Tech. in Electrical Engineering)। পেশা: তথ্যপ্রযুক্তি পেশাদার (IT Professional)। নেশা: বিজ্ঞানের বিভিন্ন শাখা নিয়ে পড়াশোনা ও চিন্তাভাবনা। এছাড়াও বিভিন্ন পত্রিকায় বিজ্ঞান প্রবন্ধ, বিজ্ঞান নিবন্ধ, কল্পবিজ্ঞান ভিত্তিক গল্প, কল্পবিজ্ঞান কবিতা, গাণিতিক কল্পকাহিনী, বিজ্ঞান নাটক, ও বিজ্ঞান কবিতা লেখা। প্রসার ভারতীর একজন বিজ্ঞান-কথিকা লেখক ও শিল্পী। উল্লেখযোগ্য পুরস্কার: বঙ্গীয় বিজ্ঞান পরিষদ কর্তৃক প্রদত্ত অমলেশচন্দ্র তালুকদার স্মৃতি রৌপ্য পদক। প্রকাশিত বই: উদ্দীপনার খেলাঘর। যোগাযোগ: [email protected]

Leave a comment

Leave a Reply

Your email address will not be published. Required fields are marked *

ফ্রি ইমেইল নিউজলেটারে সাবক্রাইব করে নিন। আমাদের নতুন লেখাগুলি পৌছে যাবে আপনার ইমেইল বক্সে।

বিভাগসমুহ

Related Articles

বিজ্ঞানী অর্গ দেশ বিদেশের বিজ্ঞানীদের সাক্ষাৎকারের মাধ্যমে তাদের জীবন ও গবেষণার গল্পগুলি নবীন প্রজন্মের কাছে পৌছে দিচ্ছে।

Contact:

biggani.org@জিমেইল.com

সম্পাদক: মোঃ মঞ্জুরুল ইসলাম

Biggani.org connects young audiences with researchers' stories and insights, cultivating a deep interest in scientific exploration.

নিয়মিত আপডেট পেতে আমাদের ইমেইল নিউজলেটার, টেলিগ্রাম, টুইটার X, WhatsApp এবং ফেসবুক -এ সাবস্ক্রাইব করে নিন।

Copyright 2024 biggani.org